کامپوزیت ونیر چیست؟

کامپوزیت ونیر چیست؟

بلاگ, مقالات

کامپوزیت ونیر چیست؟

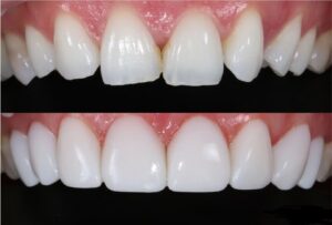
کامپوزیت ونیر یکی از روش‌ های رایج و کم‌ تهاجمی در دندانپزشکی زیبایی است که برای بهبود ظاهر دندان‌ ها استفاده می‌ شود. در این روش، لایه‌ ای نازک از مواد رزینی هم‌ رنگ دندان مستقیماً روی سطح دندان قرار داده می‌ شود تا مشکلاتی مثل شکستگی، بدرنگی، فاصله بین دندان‌ ها، یا نامرتبی خفیف اصلاح شود.

کامپوزیت ونیر چیست؟

✳️ ویژگی‌ های کامپوزیت ونیر

  • بدون تراش یا با تراش بسیار کم دندان: برخلاف لمینت سرامیکی، در بسیاری از موارد نیازی به تراش مینای دندان نیست.

  • نصب در یک جلسه: کامپوزیت مستقیماً روی دندان فرم داده می‌ شود و معمولاً در یک جلسه انجام می‌ گیرد.

  • قابل ترمیم بودن: در صورت شکستگی یا لب‌ پریدگی، به‌ راحتی قابل اصلاح است.

  • هزینه کمتر: نسبت به لمینت سرامیکی، گزینه‌ ای مقرون‌ به‌ صرفه‌ تر به‌ شمار می‌ رود.


⚠️ معایب کامپوزیت ونیر

  • مقاومت پایین‌ تر نسبت به لمینت سرامیکی

  • تغییر رنگ احتمالی در اثر مصرف زیاد چای، قهوه یا سیگار

  • نیاز به مراقبت دقیق‌ تر و پولیش منظم برای حفظ درخشندگی


✅ کاربردهای کامپوزیت ونیر

  • رفع ترک‌ های ریز دندان

  • اصلاح  فرم یا اندازه دندان‌ ها

  • بستن فاصله بین دندان‌ ها (دیستما)

  • سفیدتر کردن ظاهر دندان‌ ها در مواردی که بلیچینگ پاسخ‌ گو نیست

کامپوزیت ونیر

📌 نکات مراقبتی بعد از کامپوزیت ونیر

  • مسواک زدن منظم با خمیر دندان غیرساینده

  • پرهیز از گاز زدن به اجسام سخت (یخ، ناخن، در بطری)

  • کاهش مصرف چای، قهوه و دخانیات

  • مراجعه سالانه برای پولیش و معاینه

✨ چرا افراد به کامپوزیت ونیر نیاز پیدا می‌کنند؟

  • دندان‌ های کدر یا بدرنگ‌ شده (به دلیل تتراسایکلین، فلوروزیس، مصرف زیاد چای یا قهوه)

  • دندان‌ های شکسته یا لب‌ پریده

  • وجود فاصله بین دندان‌ ها (دیستما)

  • فرم غیرقرینه یا کوتاهی دندان‌ ها

  • اصلاح سریع طرح لبخند برای موقعیت‌ های خاص (مثل عروسی یا مصاحبه مهم)

کامپوزیت ونیر

🔁 سوالات رایج کاربران درباره کامپوزیت ونیر

۱. آیا کامپوزیت ونیر درد دارد؟

خیر. این روش کاملاً بدون درد است و در اکثر مواقع نیازی به بی‌ حسی هم ندارد.

۲. آیا ممکن است بعد از انجام کامپوزیت، دندان پوسیده شود؟

اگر کار به‌ درستی انجام شود و بیمار بهداشت دهان و دندان را رعایت کند، کامپوزیت نه‌ تنها باعث پوسیدگی نمی‌ شود، بلکه از مینای دندان نیز محافظت می‌ کند.

۳. کامپوزیت بهتر است یا لمینت؟

اگر به دنبال دوام بیشتر و تغییر رنگ کمتر هستید، لمینت سرامیکی انتخاب بهتری است. اما اگر هزینه و تهاجم کمتر برایتان اولویت دارد، کامپوزیت گزینه مناسبی است.

۴. آیا همه افراد می‌ توانند کامپوزیت انجام دهند؟

خیر. بیمار باید دارای دندان‌ های سالم، بدون پوسیدگی فعال یا بیماری لثه باشد. دندان‌ قروچه شدید یا بهداشت ضعیف می‌ تواند مانع مناسبی برای این روش باشد.


👨‍⚕️ کامپوزیت ونیر در کرج – معرفی دکتر مزدک هاشمی

اگر در کرج، به‌ ویژه محدوده مهرشهر به‌ دنبال دندانپزشکی حرفه‌ ای برای اصلاح  طرح لبخند با کامپوزیت ونیر هستید، دکتر مزدک هاشمی یکی از انتخاب‌ های مناسب با تجربه، دقت بالا و نمونه‌ کارهای موفق است.

پست های مرتبط
نتیجه‌ای پیدا نشد.

دیدگاهتان را بنویسید

نشانی ایمیل شما منتشر نخواهد شد. بخش‌های موردنیاز علامت‌گذاری شده‌اند *

Fill out this field
Fill out this field
لطفاً یک نشانی ایمیل معتبر بنویسید.
You need to agree with the terms to proceed